- 当前位置: 首页 > 龋齿蛀牙
- 怎么避免龋齿的发生
- 来源:康贝佳口腔 发布时间:2018-04-16 16:12
-
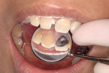
龋齿,不仅让孩子牙齿产生龋洞,变得不好看,不雅观;还会让我们牙痛,吃东西有强烈不适感。那么,如何避免龋齿的发生呢?以下是大连康贝佳口腔医生做出的相关介绍。>>>我有疑问,直接在线咨询<<<

康贝佳口腔医生指出,远离龋齿,我们自然就要做好预防的措施:
1、早晚刷牙、养成饭后漱口的好习惯;
2、少吃酸性刺激和含糖分高的食物,临睡前不吃零食;糖、巧克力、饼干等;
3、不可吃太多的过于坚硬的食物,以免牙齿磨损;
4、常参加体育锻炼,定期检查口腔,一般12岁以上的人应每年查一次;
5、平时饮食应多摄入富含钙、无机盐等营养食物
怎么避免龋齿的发生?---大连康贝佳窝沟封闭!
窝沟封闭是指不损伤牙体组织,将窝沟封闭材料涂布于牙冠咬合面、颊舌面的窝沟点隙,当它流入并渗透窝沟后固化变硬,形成一层保护性的屏障,覆盖在窝沟上,能够阻止致龋菌及酸性代谢产物对牙体的侵蚀,是一种微痛、无创伤的预防窝沟龋的方法。>>>了解技术详情,在线咨询<<<
以上是“怎么避免龋齿的发生?”的相关解答,如果想了解更多问题,欢迎在线咨询,现在进行网上预约可免挂号费,同时享受免排队优先就医。



















